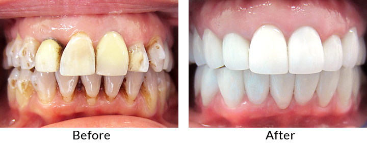
At Smile Solvers, we provide comprehensive smile makeovers to restore the health, function, and beauty of your entire smile. Whether your teeth have been damaged by decay, injury, grinding, or wear over time, Dr. Gary Klein and our experienced dental team create a customized treatment plan to address every concern. Our goal is to help you regain a confident, comfortable, and fully functional smile.
Smile makeovers combine multiple restorative and cosmetic procedures, such as crowns, bridges, veneers, implants, and bite adjustments, into one carefully planned approach. By addressing your dental needs as a whole, we ensure that your results are balanced, long-lasting, and designed to enhance your overall oral health. At our Toronto dental clinic, we use advanced technology and precise techniques to deliver transformative results with comfort and care.
A successful smile makeover requires experience, precision, and a deep understanding of both dental function and aesthetics. At Smile Solvers, we start with a thorough evaluation, including digital X-rays, impressions, and bite analysis, to create a detailed treatment plan tailored to you.
We take the time to explain every step of the process, ensuring you feel informed and confident before treatment begins. By combining artistry with advanced dentistry, Dr. Gary Klein and our team can rebuild your smile so it not only looks beautiful but functions naturally for years to come.
Take the first step toward a healthier, brighter smile with Smile Solvers. Our Toronto dental clinic is ready to welcome you and your family for exceptional care.
Posted on A Google User2025-07-23Trustindex verifies that the original source of the review is Google. Simply put... the best service!!Posted on A Google User2025-07-23Trustindex verifies that the original source of the review is Google. I can't thank this dental team enough for helping me finally achieve the smile I've been dreaming of! After doing Invisalign twice and still feeling disappointed with the results, I was honestly ready to give up. But something in me said, “Try one more time,” and I’m so glad I did. I decided to go the good old-fashioned way—with braces—and in just 8 months, my smile completely transformed. The care, attention to detail, and encouragement I received throughout the process made all the difference. Now, I can confidently say I have the most beautiful smile—and it’s all thanks to this incredible team. If you’re feeling stuck or discouraged, don’t give up. The right hands can truly make a difference.Posted on A Google User2025-07-18Trustindex verifies that the original source of the review is Google. Dr. Klein and his team are always a pleasure to visit! They’re incredibly friendly, professional, and go out of their way to make every appointment comfortable and stress-free. They’re especially great with kids — patient, gentle, and really know how to put young patients at ease. It’s clear they truly care about their patients and take pride in their work. I’m so grateful to have found a dental office that we actually look forward to visiting!Posted on A Google User2025-07-18Trustindex verifies that the original source of the review is Google. Dr Klein combines extraordinary technical skill with a gentle, compassionate approach - he is an outstanding dentist and I am fortunate to be under his care. 5 plus stars!!!!Posted on A Google User2025-07-17Trustindex verifies that the original source of the review is Google. My go-to dentist. I've done Invisalign and regular check ups with Dr Klein and the team.Posted on A Google User2025-07-16Trustindex verifies that the original source of the review is Google. I have been seeing Dr. Klein for many years now and have always found him very helpful and would not want to go anywhere else. I have always found him friendly and helpful and have always felt he does high quality work. I have never had any issues with the work he has done. Great services.Posted on A Google User2025-07-02Trustindex verifies that the original source of the review is Google. Absolutely amazing dentist! He’s incredibly patient, takes the time to really listen to all of your concerns, and explains everything clearly. What I really appreciate is that he offers different treatment plans to fit your budget, so you never feel pressured. He truly cares about his patients. The staff is just as wonderful—friendly, helpful, and professional. The office is very clean and well-maintained, and you can tell he’s highly experienced. I always feel comfortable and well taken care of here. Highly recommend!Posted on A Google User2025-06-24Trustindex verifies that the original source of the review is Google. Dr. Klein is amazing, and the whole team is great! I usually dread needles, but he makes everything feel easy and stress-free. Whether it’s a cleaning, filling, or even dental surgery, this is a great spot—super professional and comfortable.
We work with patients to handle any smile imperfections or concerns, and can improve your teeth, gums and/or bite.